In questa sezione sono presenti i diversi contenuti inerenti le patologie e la medicina di laboratorio in ambito neurologico, presentati sotto forma di videolezioni, condivisione di esperienze cliniche/casi didattici, diapositive, immagini interattive, aggiornamenti dalla letteratura, dai principali congressi e/o dagli studi in corso.
Patologie

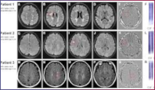
Le malattie infiammatorie demielinizzanti del sistema nervoso centrale (SNC) comprendono un gruppo eterogeneo di patologie con diverso decorso clinico (monofasico, recidivante e/o progressivo) e patogenesi immuno-mediata, di cui la più frequente è la Sclerosi Multipla (SM). La diagnosi di SM, in un paziente che ha avuto almeno una manifestazione clinica compatibile con evento demielinizzante del SNC, si basa su tre concetti …
Medicina di laboratorio

Il liquido cefalorachidiano LCR o liquor, è un fluido che in condizioni fisiologiche incolore, limpido e sterile, prelevato tramite puntura nel terzo, nel quarto o nel quinto spazio intervertebrale, la cui indagine deve essere eseguita possibilmente entro un’ora dal prelievo per evitare l’alterazione delle cellule. L’analisi chimico-fisica del LCR riveste un’importanza fondamentale diagnosi di una ampia varietà di malattie e condizioni che colpiscono il sistema nervoso centrale (SNC) …